
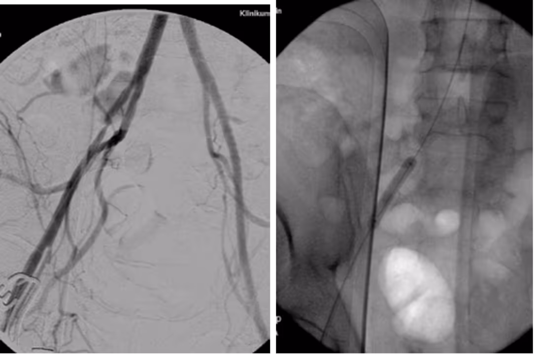
Many peripheral stenoses and occlusions are accessible by endovascular means. Among the endovascular procedures treatment of iliac and femoro-popliteal stenoses/occlusions are the most often used techniques. Thorough planing, proper use of endovascular tools and adherence to meticulous endovascular techniques are therefore of upmost importance for the success.
Educational objectives
.avif)
The Vascular International (VI) School for Vascular Surgery is dedicated to advancing the training and education of vascular surgical techniques through the use of lifelike models. With patient safety as the top priority, VI continuously strives to enhance vascular surgery training, ensuring the highest standards of safe and effective open and endovascular patient care.
About Us